These Are the Signs That He Is… (And Why Most People Miss Them for Months)
A shocking number of mouth cancer cases are detected late — not because symptoms aren’t there, but because people don’t recognize them. What you’re about to read may help someone catch it earlier.

What Exactly Is Mouth Cancer — And Why Is It Increasing So Fast?
Mouth cancer is a type of cancer of the throat and head and is often treated as such. Mouth cancer mostly occurs after the age of 40, and men are more prone to it than women.
This year alone, 77,003 new cases of mouth cancer have been registered in India and 52,067 people have died. One of the biggest dangers? Oral cancer is usually detected only after it has spread to the lymph nodes, which makes treatment harder and the risk of life much higher.
But here’s the hopeful part: when detected early, the chances of survival increase dramatically. Let’s understand the types, symptoms, and stages that everyone should know.
Types of Mouth Cancer (Oral Cancer)
Here are the main forms — and any of them can start quietly:
- Lip Cancer
- Tongue Cancer
- Inner Cheek Cancer
- Gum Cancer
- Cancer of the lower part of the mouth
You should see your dentist as soon as you see symptoms of oral cancer. According to the dentist, at least twice a year, get your mouth examined by your doctor.
Let us know about its symptoms, dangers, its stages. And you can meet Mouth Cancer Specialist Dr. Sajjan Rajpurohit.

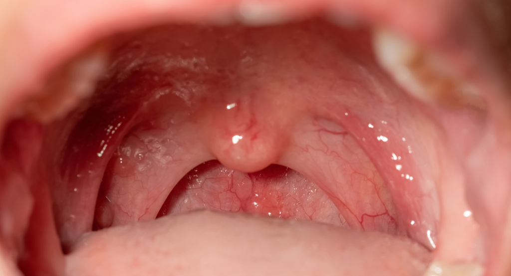
Symptoms of Mouth Cancer (Oral Cancer)
Here’s something most people don’t realize: In the early stages of mouth cancer, it is not detected and there are no symptoms.
That’s why people who smoke or drink alcohol daily should have their mouth checked regularly.
Main Symptoms of Mouth (Oral) Cancer
- Non-healing blister on the lips or mouth
- Mouth enlargement
- Bleeding from the mouth
- Loose tooth
- Mouth pain or difficulty swallowing
- Sudden lump in the neck
- Earache
- Sudden weight loss
- Numbness of the lips, face, neck, or chin
- Red and white patches on the mouth or lips
- Throat pain
- Dry mouth
- Jaw pain or stiffness
- Tongue pain

Although having these symptoms doesn’t mean you have mouth cancer, you should definitely see your dentist and continue to check on them from time to time after your visit.
Some of these symptoms, such as a sore throat or earache, can also indicate other illnesses. However, if these signs don’t go away after treatment — or if you notice more than one at the same time — you should not ignore them.
See your dentist or doctor as soon as possible and get the proper treatment.
Cause of Mouth Cancer (Oral Cancer)
Many of the causes are lifestyle-related — which means knowing them early can save lives.
- Smoking: Smoking is the most common cause of mouth cancer, and people who smoke cigarettes, cigars, or pipes have the highest risk.
- Consumption of tobacco: Tobacco in any form can become a major cause of oral cancer.
- Drinking alcohol in excess.

Mouth Cancer Stages — How It Progresses
Understanding the stages helps you see how dangerous delays can be:
Stage 1
The tumor is less than 1 inch in size and has not reached nearby lymph nodes.
Stage 2
The tumor grows to 1 to 2 inches and has not reached nearby lymph nodes.
Stage 3
The tumor grows to about 2 inches but does not spread; or it does not grow more than 1 inch but has spread to nearby lymph nodes.
Stage 4
Cancer has spread to the mouth and affects tissues around the mouth, lips, and possibly nearby lymph nodes; or it spreads to the rest of the body.
The stages of cancer tell how it can be treated as well as how likely it is to be cured.
Before You Scroll — Why This Information Matters
Most people only search symptoms after something goes wrong.
But early awareness literally increases survival chances. The next 10 seconds of reading may help catch it sooner in you or someone you love. Stay informed, stay alert — and never ignore persistent symptoms.
